症状を大きく改善するALL on 4治療(自費診療となります)
All on 4(オールオンフォー)をお薦めする3つの理由
1.安全・安心で患者様の負担が少ない最新の治療法
これまでのインプラントでは、歯がほとんど残っていない方に対しては、多ければ10本以上のインプラントを埋め込む必要がありました。さらに、骨量が少ない方には、骨移植やサイナスリフトのような高価で患者様に負担が大きい治療法も併用する必要がありました。
All-on-4(オールオンフォー)では、最小4本のインプラント数で済み、また骨移植なども不要なので、これまでのインプラントに比べ、患者様の手術の負担や手術の安全性が高いのです。
2.即日インプラント!手術当日から食事することができる)
All-on-4(オールオンフォー)の多くの手術では日帰りで行うことができ、当日まで総入れ歯を使用し、手術後は新たな人工歯で食事をすることが可能です。
3.経済的な負担も少ない!
All-on-4(オールオンフォー)は最小4本のインプラントで済み、全ての歯をインプラントにする場合、10本以上のインプラントが必要だった従来に比べ、低予算で高い完成度のインプラント手術を行うことができます。
All on 4の症例
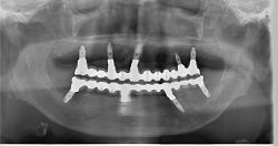
レントゲン写真
![]() |
![]() |
口腔内写真
![]() |
![]() |
インプラント写真
![]() |
![]() |
施術名:上下顎のAll on 4治療
施術の説明:義歯装着患者に対するAll on 4によるインプラント治療
施術の副作用(リスク):オペ後の腫れ、内出血の症状が出る場合がある
施術の価格:4,000,000円
総入れ歯の人に最適な理由
これまでは歯全体を治療する場合、多数のインプラントを埋め込まなければなりませんでした。患者様によっては10本以上のインプラントが必要になることもあり、手術の費用・回数が大きな負担でした。しかし、「All-on-4」(オールオンフォー)は4本のインプラントで済み、治療も短期間で(早ければ手術当日にインプラントの歯で食事も可能)価格も大幅に節約することができます。
骨量が少ない人に最適な理由
インプラントを埋め込む骨の量が少ない方には、今までは骨量を増やすための別の手術を行い、その後インプラント手術を行っていました。しかしAll-on-4(オールオンフォー)は上顎洞同士の間など、骨量が多い場所に埋め込むため、骨移植などの必要もなく治療を行うことができます。















